脳梗塞の治療
金澤点滴治療スケジュール (トータル 5回 の通院治療)
検査内容
1)血液検査
2)心電図検査
3)X線検査
4)ABI検査
5)血小板凝集能検査
6)MRA、MRI
追加情報2)心電図検査
3)X線検査
4)ABI検査
5)血小板凝集能検査
6)MRA、MRI
・点滴治療の回数は1コース5回です。
・初回点滴治療前に採血検査を行いますので、治療開始6時間前は水またはノンカフェインのお茶以外の飲食はお控えください。
・治療計画は初回診察時に決定します。
・点滴治療を5日間連続で行うか、週1回計5回行うかは、医師と相談の上決定します。
・4回目の点滴治療終了前に採血検査を行いますので、治療開始6時間前は水またはノンカフェインのお茶以外の飲食はお控えください。
・5回目の点滴治療終了後、治療効果の確認と今後の治療計画を決定するため、医師による精密検査を行います。
・検査は初回点滴治療前と最終(5回目)の点滴治療後に行います。
・検査項目は、個人の体調や症状により変更する場合があります。
・採血当日は、治療開始6時間前まで水とカフェインレスのお茶以外の飲食はお控えください。
・安全のため、事前検査を受けられない場合は、金沢点滴治療を受けることができません。
未病治療のための検査
未病治療のための検査には以下のようなものがあります。
[1] 診察
[2] 心電図、胸部X線写真、ホルター心電図、心エコー
[3] 血液生化学検査、検尿、尿潜血、尿ケトン体
[4] 血液ガス分析
[5] 脳CT、脳MBRI、脳MRA
[6] 顕動脈MRA、頭動脈エコー
[7] 腰椎穿刺
[8] 脳波
[9] 脳血管撮影
[10] 3D-CTAによる脳動脈病変
[11] 脳循環の測定
SPECT(単一光子放射断層撮影)
PET (ポジトロン断層法)
C15O2·15O2で酸素消費量の測定
ゼノンCT
[12] 血小板凝集能、血液凝固能
[13] 自律神経機能
[14] サーモグラフィ
※必ずすべての検査を行うわけではありません。 症状や状態に合わせて現代医学の最先端技術を駆使してさまざまな検査を行います。
[2] 心電図、胸部X線写真、ホルター心電図、心エコー
[3] 血液生化学検査、検尿、尿潜血、尿ケトン体
[4] 血液ガス分析
[5] 脳CT、脳MBRI、脳MRA
[6] 顕動脈MRA、頭動脈エコー
[7] 腰椎穿刺
[8] 脳波
[9] 脳血管撮影
[10] 3D-CTAによる脳動脈病変
[11] 脳循環の測定
SPECT(単一光子放射断層撮影)
PET (ポジトロン断層法)
C15O2·15O2で酸素消費量の測定
ゼノンCT
[12] 血小板凝集能、血液凝固能
[13] 自律神経機能
[14] サーモグラフィ
※必ずすべての検査を行うわけではありません。 症状や状態に合わせて現代医学の最先端技術を駆使してさまざまな検査を行います。
半世紀に及ぶ長い年月をかけ脳梗塞を未病段階で防ぐ方法として確立された血管活性化治療。
この方法で、血管を若返らせ、狭くなった血管を広げることができます。
血流も良くなります。その結果、脳梗塞を防ぐことができるのです。
金遷点滴療法では、診察内容に応じて 本人にぴったりの薬剤を使用します。
点滴治療と生活指導をすることで6つの症状を改善します。
動脈血管の狭窄の治療・・・・・・・・
狭くなった動脈を広げて、血流を良くする
血小板の擬集を抑える・・・・・・・・
動脈硬化を起こした血管は傷つきやすく、そこへ血小板が 集まって血栓を作るので、それを防ぐ。
LDLコレステロール、LDH(乳酸脱水素酵素)、
中性脂肪、HbA1C、Ua(尿酸)のコントロール・・・・・・・・
脳梗塞を起こしやすい要因を、生活習慣を変えたり薬剤を使って改善する。
白血球のひとつである好中球増多の是正(炎症を抑える)・・・・・・・・
脳梗塞の原因である血管壁の炎症を抑える。
ヘモグロビン低下の是正・・・・・・・・
脳梗塞を起こす人は貧血傾向にあるので、これを生活習慣や薬剤で改善する。
活性酸素を除去・・・・・・・・
脳梗塞を起こす人は貧血傾向にあるので、これを生活習慣や薬剤で改善する。
ヘモグロビン低下の是正・・・・・・・・
活性酸素を除去・・・・・・・・
点滴治療と生活指導をすることで6つの症状を改善します。
動脈血管の狭窄の治療・・・・・・・・
狭くなった動脈を広げて、血流を良くする
血小板の擬集を抑える・・・・・・・・
動脈硬化を起こした血管は傷つきやすく、そこへ血小板が 集まって血栓を作るので、それを防ぐ。
LDLコレステロール、LDH(乳酸脱水素酵素)、
中性脂肪、HbA1C、Ua(尿酸)のコントロール・・・・・・・・
脳梗塞を起こしやすい要因を、生活習慣を変えたり薬剤を使って改善する。
白血球のひとつである好中球増多の是正(炎症を抑える)・・・・・・・・
脳梗塞の原因である血管壁の炎症を抑える。
ヘモグロビン低下の是正・・・・・・・・
脳梗塞を起こす人は貧血傾向にあるので、これを生活習慣や薬剤で改善する。
活性酸素を除去・・・・・・・・
脳梗塞を起こす人は貧血傾向にあるので、これを生活習慣や薬剤で改善する。
ヘモグロビン低下の是正・・・・・・・・
活性酸素を除去・・・・・・・・
この6つの症状を改善させることがポイントです。
これまでの治療から、脳梗塞の後遺症の病態を回復させ、再発を予防する治療でも 改善効果につながっています。
これまでの治療から、脳梗塞の後遺症の病態を回復させ、再発を予防する治療でも 改善効果につながっています。
検査はMRIとMRAで行ないます。MRIは脳そのもの状態を、MRAは血管の状態をチェックすることができます。
脳にどんな病気があって、どの部分に損傷があり、どの血管に問題があるのかといったことを読み取ります。
ここでは主にMRAの画像を紹介します。脳血管のどの部分が詰まっているか、どこが狭窄しているか、MRAの画像から読み取り治療による変化の参考にして下さい。
まず、MRAによって脳内動脈がどんなふうに見えるか、P羽に写真で示しました。
脳にどんな病気があって、どの部分に損傷があり、どの血管に問題があるのかといったことを読み取ります。
ここでは主にMRAの画像を紹介します。脳血管のどの部分が詰まっているか、どこが狭窄しているか、MRAの画像から読み取り治療による変化の参考にして下さい。
まず、MRAによって脳内動脈がどんなふうに見えるか、P羽に写真で示しました。

正常な人の脳血管

狭窄のある脳血管
脳梗塞未病を見逃さない!
白く光っているのが血液が流れている血管です。白い線が写真のようにつながっていれば血管は正常ですが、狭窄を起こしているところは、白だった部分が薄くなったり黒くなったりしています。脳梗塞を起こせば、その先には血流がありませんから、血管は映りません。 こういった脳梗塞の前兆を見逃さず、病気になる前に治療を開始することでリスクを回避することができるのです。治療実例 69歳 男性 Aさん
歩行中の下肢痛があり、めまいで転倒することも。少し手の震え感じるようになった。

MRAにて両側の中大脳動脈部に狭窄がみられ、
また後大脳動脈部にも虚血巣がみられた。
そこで、点滴療法を施行した。
10日間の点滴静注により動脈血管の狭窄は著しく改善し、
患者の訴えもほとんどなくなった。
治療実例 70歳 男性 Bさん
脳梗塞発症後の改善例。右半身不随とめまい、歩行障害の患者。脳のMRAを撮ると左中大脳動脈の閉塞、左中大脳動脈の狭窄、右後大動脈の虚血がみられる。

脳梗塞後、動脈の一部に閉塞部位の見られる例。
上記同様の点滴治療後には
左中大脳動脈の閉塞は改善しなかったが、
他の動脈の狭窄は著しく改善し、体調も明らかに良くなった。
脳梗塞跡から先の死滅した脳細胞には変化が見られないが、
閉塞部位以外の狭窄が改善されるため、その先の脳の司る症状は回復する。
ご存知の通り、血管は全身を走り、指先の末端まで血は巡っています。
脳梗塞の未病療法の効果はその実、脳への影響だけにとどまりません。
その他の治療例
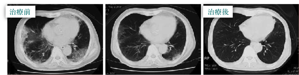
治療実例 70歳 男性 Cさん
潜在性肺血栓症状の疑いがあり他院に肺炎として入院。2ヶ月間の治療後、 一番左側の胸部 CT では後部と右中肺葉に未だ陰部が残り、 80メートルほど歩くだけで
呼吸困難に陥り、動怪が激しくなる状態。
金滞点滴療法を施術すると真ん中に示すように陰影は大方消失し、更に右の写真についてはほぼ殆消失し、
呼吸困難の症状も改善した。往復2キロを歩いても呼吸困難にもならず、激しい動怪も起こらなくなった。
治療実例 63歳 男性 Dさん
喫煙歴35年のCさん。胸部に明らかな肺繊維症の陰影のみられた例。発熱は無かったが肺炎として入院。抗生剤を投与したが回復しなかった。

金点滴療法を施術すると異部陰影は、 ほとんど消失し
症状も無くなった。
治療実例 74歳 男性 Eさん
歩行痛を訴え来院。MRAに示してあるように明らかに血管の狭窄がみられた。
金点滴療法を施術すると血流が明らかに改善した。
痛みの症状もほとんどとれたという。
